Dr Tony Dental - Veneer and Invisalign Center
Trang chủ
»
Thư viện ca thực tế
»
Niềng răng trong suốt invisalign
Niềng răng trong suốt invisalign
Trang chủ
Về chúng tôi
Cẩm nang điều trị
Mặt dán sứ veneer
Niềng răng trong suốt Invisalign
Câu hỏi thường gặp về Invisalign
Mô phỏng nụ cười sau Invisalign
Bảng giá
Thư viện ca thực tế
Phục hình thẩm mỹ Veneer Sứ
Niềng răng trong suốt Invisalign
Ưu đãi
Liên hệ
Trang chủ
Về chúng tôi
Cẩm nang điều trị
Mặt dán sứ veneer
Niềng răng trong suốt Invisalign
Câu hỏi thường gặp về Invisalign
Mô phỏng nụ cười sau Invisalign
Bảng giá
Thư viện ca thực tế
Phục hình thẩm mỹ Veneer Sứ
Niềng răng trong suốt Invisalign
Ưu đãi
Liên hệ
<
41
Chinh phục nụ cười hoàn hảo bằng Invisalign
Thứ 4 | 11/03/2020 -
Lượt xem: 847
Ca Invisalign cắn sâu
Thứ 4 | 11/03/2020 -
Lượt xem: 839
Ca của một tiếp viên hàng không
Thứ 4 | 11/03/2020 -
Lượt xem: 1005
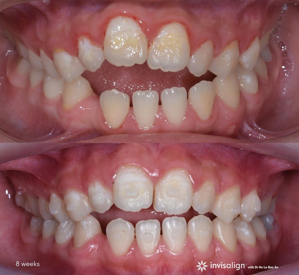
Ca cắn hở tái khám sau 8 tuần đeo khay
Thứ 3 | 10/03/2020 -
Lượt xem: 859
Ca Invisalign trong giai đoạn điều trị
Thứ 3 | 10/03/2020 -
Lượt xem: 862
Ca hô nhẹ và chen chúc răng
Thứ 3 | 10/03/2020 -
Lượt xem: 873
Bệnh nhân đầu tiên của tháng 3
Thứ 3 | 10/03/2020 -
Lượt xem: 816
Các giai đoạn điều trị của Invisalign
Thứ 3 | 10/03/2020 -
Lượt xem: 877
Ca Invisalign với răng cắn sâu và khe thưa
Thứ 5 | 05/03/2020 -
Lượt xem: 901
<
41
Thống kê truy cập
Đang truy cập
10
Hôm nay
167
Hôm qua
378
Trong tuần
1153
Trong tháng
1854
Tổng số
660246