Tiến Trình Ca Invisalign (Giai Đoạn Kết Thúc)







TIẾN TRÌNH CA INVISALIGN (GIAI ĐOẠN KẾT THÚC)
/English below please/
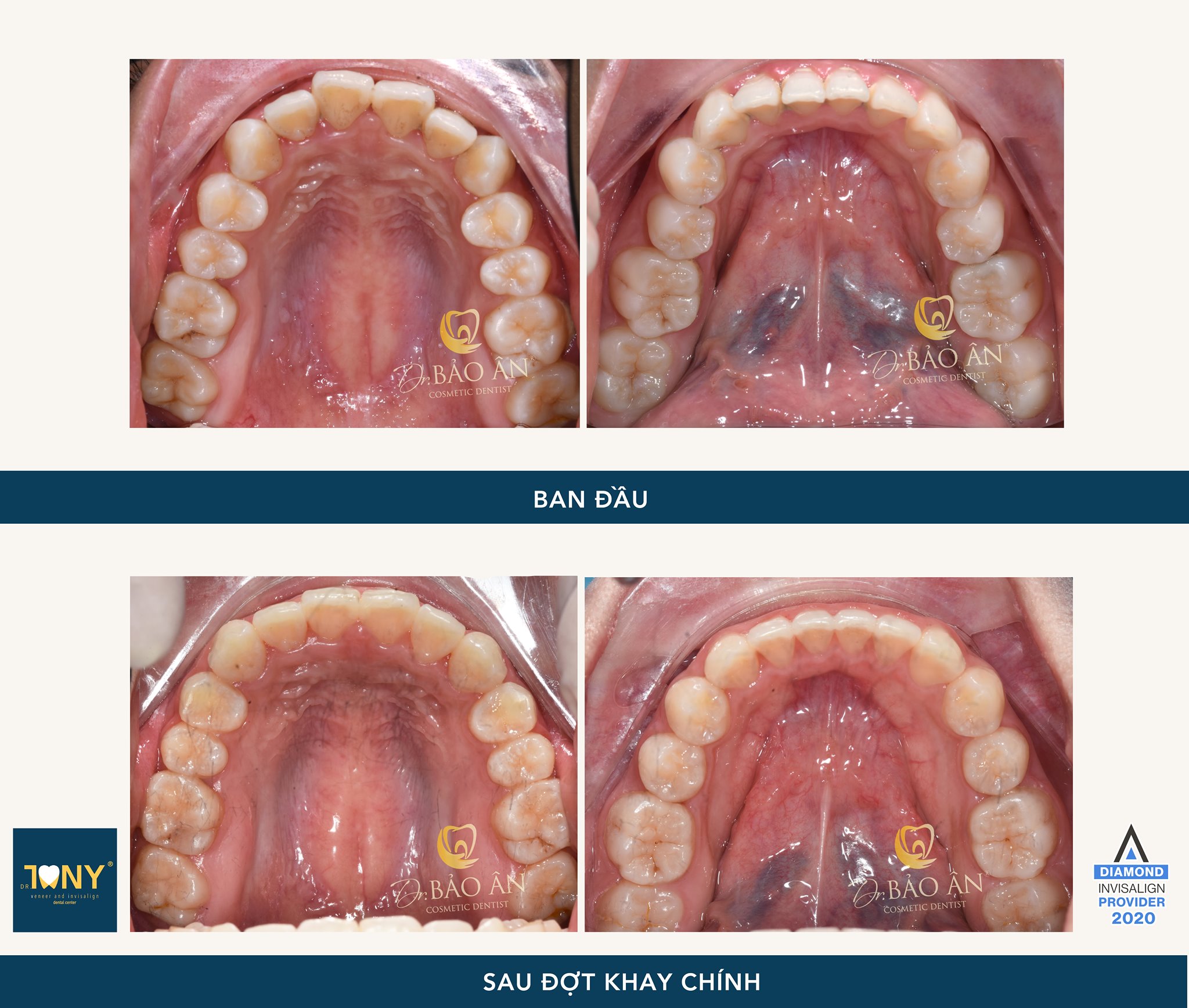
Hạng 2 – Hô | Chen chúc
-Invisalign Guidebook: http://invisalign.drtonydental.com
_____
INVISALIGN CASE PROGRESS (FINISHING)
Class 2 malocclusion - Protrusion | Crowding




 
Đang tải bình luận,....

Thống kê truy cập

Đang truy cập 55
Hôm nay 121
Hôm qua 378
Trong tuần 1107
Trong tháng 1808
Tổng số 660200