





TÚT LẠI VẺ ĐẸP TRAI cho anh doanh nhân thân thiện, dễ thương, mà ít hé nụ cười
Veneer sứ giải quyết hai mong muốn của anh ấy:
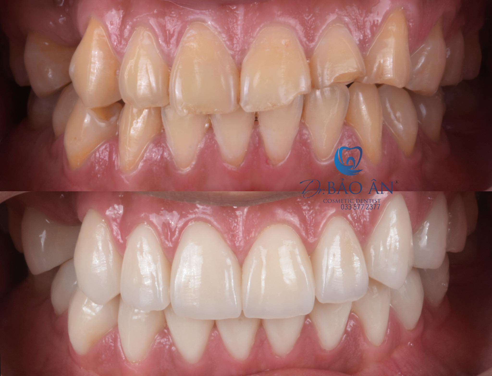
Cải thiện màu sắc của răng
Phục hồi rìa cắn răng cửa và đỉnh múi răng nanh bị mẻ vỡ do tai nạn
Veneer sứ độ dày 0.4mm. Màu BL4. Sửa soạn tối thiểu. Bào tồn men răng và sự sống tuỷ răng toàn bộ.
Tận hưởng nụ cười mới và chúc anh thành đạt hơn trong cuộc sống
——
Glass ceramic: emax press
Mock-up/Trial smile và phục hình tạm: Luxatemp
Cement dán: Vitique
——
